في عالم الطب، هناك الكثير من المصطلحات تثير الفضول والاهتمام، ولعل “المتلازمة” هي واحدة من هذه المصطلحات التي تتردد على مسامعنا بشكل متكرر، إلا أن البعض لا يفهم معناها الصحيح والدقيق.

كما أن هناك العديد من الأمراض التي قد تصيب الأشخاص، والتي لها علاقة بمتلازمة ما، إلا أن جهل هذا الأمر يجعل في بعض الحالات طرق العلاج صعبة، بسبب عدم سلك الطريق الصحيح له.

لذلك إذا كنتم تتساءلون عن ماهية المتلازمات، أنواعها، خصائصها، وكيف تختلف عن الاضطرابات، فأنتم في المكان الصحيح. 

إذ سوف نستعرض لكم جميع التفاصيل التي يجب معرفتها عن المتلازمات المختلفة، خصوصاً تلك الشهيرة منها، والتي تصيب عدداً كبيراً من الأشخاص حول العالم.

معنى مصطلح المتلازمة

تعريف المتلازمة بشكل مبسط هي مجموعة من الأعراض والعلامات التي تظهر معاً بشكل يشير إلى وجود حالة مرضية معينة أو اضطراب غير عادي أو مألوف في الجسم.

هذه الأعراض مجتمعة تكون ذات صلة ببعضها البعض، وغالباً ما تكون ناتجة عن سبب مشترك، والذي يمكن أن يكتسب مع الوقت، أو أن يكون وراثياً، أو قبل الولادة.

وما يجعل المتلازمة مميزة كونها مرضاً، مقارنة ببعض الأمراض الأخرى، هي وجود عرض واحد أو مجموعة أعراض مختلفة، كلها تجعل التشخيص الطبي يشير إليها بشكل دقيق ومخصص.

أنواع المتلازمات

يجب الإشارة إلى أن المتلازمات متنوعة وعديدة، وتختلف حسب الأسباب المؤدية لها والأعراض، وهي كالتالي:

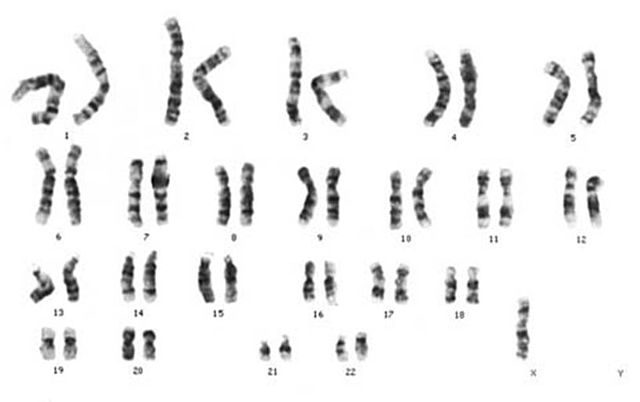
متلازمات جينية: 

المتلازمات الجينية هي مجموعة من الاضطرابات التي تنشأ بسبب تغييرات في الجينات أو عدد الكروموسومات.

إذ تؤثر هذه التغييرات على النمو والتطور الطبيعيين للطفل، وقد تكون ناتجة عن خلل في جين معين، أو وجود نسخ إضافية من الكروموسومات، أو فقدان جزء منها. 

ما هي المتلازمة؟ ـ مصدر: shutterstock
ما هي المتلازمة؟ ـ مصدر: shutterstock

المتلازمات الجينية متنوعة وتختلف في شدتها والأعراض المصاحبة لها، ولكنها غالباً ما تكون موجودة منذ الولادة.

ومن بين أبرز المتلازمات الجينية نذكر متلازمة داون، ومتلازمة تيرنر، ومتلازمة كلاينفلتر، ومتلازمة الشريط المحذوف، ومتلازمة مارفان.

متلازمات استقلابية

المتلازمات الاستقلابية عبارة عن مجموعة من الظروف التي تجتمع لتؤدي إلى مجموعة من الأمراض، وتشمل ارتفاع ضغط الدم، وزيادة السكر في الدم، والسمنة الزائدة حول الخصر، ومستويات غير طبيعية من الكوليسترول أو الدهون الثلاثية في الدم. 

وجود واحد أو أكثر من هذه العوامل يزيد من خطر الإصابة بمشاكل صحية خطيرة، لكن وجودها مجتمعة يرفع هذا الخطر بشكل كبير.

ومن بين أنواع المتلازمات الاستقلابية، نجد كلاً من متلازمة الأيض الشاملة، ومتلازمة السمنة المركزية، ومتلازمة الأيض القلبي الوعائي، ومتلازمة الأيض المقاومة للأنسولين.

متلازمات نفسية

المتلازمات النفسية عبارة عن مجموعة من الاضطرابات النفسية و السلوكية التي تظهر معاً وتؤثر على طريقة تفكير وشعور تصرف الشخص المريض.

 تتميز هذه المتلازمات بوجود أعراض متعددة تشكل تحدياً في الحياة اليومية للفرد، والتي يمكن أن تؤثر على قدرته على التفاعل مع الآخرين بشكل طبيعي.

وهناك العديد من العلاجات المقترحة لكل نوع من هذه المتلازمات، من بينها العلاج النفسي، والأدوية، وأساليب الدعم الأخرى لمساعدة المصاب على إدارة أعراضه وتحسين نوعية حياته.

ومن بين أبرز المتلازمات النفسية نجد متلازمة ما بعد الصدمة، ومتلازمة الاحتراق النفسي، ومتلازمة أسبرجر.

أبرز خصائص المتلازمات

من الخصائص المميزة للمتلازمات قدرتها على الجمع بين أعراض قد لا تبدو مرتبطة في البداية، لكن بعد تحليلها يتم الكشف عن وجود علاقة سببية. 

فعلى سبيل المثال، في متلازمة الأيض، تجتمع أعراض مثل ارتفاع ضغط الدم، والسمنة، وارتفاع سكر الدم، مشيرة إلى خلل أوسع في طريقة تعامل الجسم مع الطاقة والدهون.

فيما هناك خصائص أخرى للمتلازمات وهي عبارة عن أعراض مرتبطة والتي تشير إلى وجود هذا المرض المعين في الجسم.

ومن بين هذه الخصائص نجد تجميع الأعراض، والأسباب المشتركة، والتأثيرات متعددة الجوانب، والتشخيص المتخصص، والذي يعتمد في الأصل على بعض الاختبارات الطبية، مثل الفحوصات الجينية، والتصوير الطبي، وتحليلات الدم.

ما هي المتلازمة؟ ـ مصدر: shutterstock
ما هي المتلازمة؟ ـ مصدر: shutterstock

الفرق بين المتلازمة والاضطراب

بالرغم من أن هذين المصطلحين قد يُستخدمان بشكل متبادل في بعض الأحيان من أجل وصف نفس الحالة المرضية، إلا أن هناك مجموعة من الفروق التي تجعل المتلازمة مختلفة عن الاضطراب. والاضطراب هو مصطلح أوسع يشير إلى وجود خلل في الوظائف الطبيعية للجسم أو العقل، وقد يكون سببه معروفاً أو غير معروف حسب الحالة.

أما المتلازمة، فهي مختلفة، وتركز بشكل أكبر على مجموعة الأعراض والعلامات التي تظهر معاً، دون الحاجة دائماً إلى تحديد السبب الدقيق وراءها.

لهذا يجب التفريق بين كل واحد من هذين المصطلحين، كذلك معرفة أبرز أنواع المتلازمات، التي تنتشر بكثرة، خصوصاً في الوطن العربي، وهي التي سنكشف عنها في السطور المقبلة.

متلازمة داون 

تعتبر متلازمة داون، والتي تُعرف أيضاً بالتثلث الصبغي 21، واحدة من أشهر الحالات الجينية التي عرفها عالم الطب والوراثة.

تعرف هذه المتلازمة بالعديد من الخصائص الجسدية والفكرية المختلفة والفريدة، وذلك بسبب حدوث خلل في الكروموسومات عند فترة الحمل؛ مما يؤثر على التطور الجسدي والعقلي للجنين قبل الولادة. 

الأسباب

يعتبر السبب الرئيسي الذي يؤدي إلى الإصابة بمتلازمة داون هو الخلل الجيني الذي ينتج عنه نسخة إضافية من الكروموسوم 21. 

هذه الحالة الجينية، التي تعرف باسم التثلث الصبغي، يمكن أن تحدث بطرق مختلفة، أشهرها التثلث الصبغي الكامل، حيث يتواجد ثلاث نسخ كاملة من الكروموسوم 21 في كل خلية بالجسم بدلاً من الزوج الطبيعي. 

ومن بين العوامل التي تزيد من خطر ولادة طفل مصاب بمتلازمة داون هو عمر الأم المرتفع، خاصة إذا تم الحمل بعد سن 35.

أعراض متلازمة داون

هناك العديد من الأعراض التي تكشف عن إصابة الطفل الرضيع بمتلازمة داون، وأغلبها تكون أعراض ذات ملامح مميزة في الوجه وأخرى في الجسم، مثل العيون المائلة، والرقبة القصيرة، واليدين العريضتين مع خطوط الكف الواضحة.

كما يمكن أن تشمل الأعراض كذلك التأخير في النمو الجسدي والفكري، ومشاكل في السمع والنظر، وزيادة خطر الإصابة بمشاكل صحية معينة مثل أمراض القلب الخلقية ومشاكل الغدة الدرقية.

متلازمة داون ـ مصدر: shutterstock
متلازمة داون ـ مصدر: shutterstock

طرق العلاج الممكنة

في الواقع، لا يوجد أي نوع من العلاج الخاص لمتلازمة داون، لكن يوجد العديد من التدخلات الطبية، التي تساعد في تحسين حالة الشخص المصاب ومساعدته في الاندماج أكثر في المجتمع.

ومن بين هذه العلاجات المقترحة نجد تلك التي تعتمد على التطوير الجسدي من بينها العلاج الطبيعي، العلاج النطقي، والتعليم الخاص.

متلازمة جوسكا 

يشار إلى أن متلازمة جوسكا أحد الاضطرابات النفسية الشائعة بصورة كبيرة جداً، والتي تُؤثر على نفسية الإنسان، لتجعله يتحدث بشكل كبير مع نفسه في حوار طويل، ويكون هذا الحوار مع العقل إمّا بصورة إيجابية أو سلبية، ولكن أغلب الأفراد المُصابين بهذه المتلازمة تسيطر عليهم الأفكار السلبية بشكل أكبر.

في بعض الأحيان يمكن أن يتحدث المصاب بصوت مسموع ومرتفع، لذلك غالباً ما يميل إلى العزلة والبقاء في فضاءات بعيدة عن الأشخاص الآخرين، الشيء الذي يؤدي إلى العجز الاجتماعي.

أسباب متلازمة جوسكا 

أبرز الأسباب التي تؤدي إلى متلازمة جوسكا هي  العجز الاجتماعي الذي يعدّ السبب الأبرز للإصابة، والذي من شأنه أن يجعل الكثيرين عرضة للإصابة بهذا المرض النفسي.

إذ يميل الشخص الذي لا يتوفر على أصدقاء إلى أن يجعل من نفسه صديق، ليمارس كل حواراته ومناقشة أفكاره مع عقله فقط لا غير.

وقد تكون الأسباب وراء العجز الاجتماعي هو تعرض المصاب سابقاً لبعض الصدمات، مثل الخذلان، أو الخيانة، أو فقدان شخص قريب.

الأعراض

توجد عدة أعراض تكشف الإصابة بمتلازمة جوسكا، من أبرزها نذكر:

عدم حديث الشخص المصاب مع محيطه، والعزلة والانغلاق، وكره المناسبات والتجمعات العائليَّة بشكلٍ مبالغ فيه، إضافةً إلى التفكير الدائم بشكلٍ سلبي ونظرة سوداويّة للحياة.

كما أنّ المصاب بالمتلازمة يحاول دائماً إثبات أنّه سليم ولا يُعاني من أي شيء، بل يجد لنفسه أيضاً الحجج والمُبررات.

علاوة على ذلك، يصاب المريض بمتلازمة جوسكا بالاضطراب النفسي، والعقلي، والإدراكي، وقد يتطوّر الحديث مع النفس إلى أشكال وصور عنيفة تصل حد الأذى.

متلازمة جوسيكا ـ مصدر: shutterstock
متلازمة جوسيكا ـ مصدر: shutterstock

طرق العلاج 

الاعتراف بالإصابة بمتلازمة جوسكا والتحدث عنها يعد خطوة أولى نحو العلاج، حيث يساعد ذلك في التخفيف من التأثيرات السلبية على حياة ونفسية المصاب. 

لذلك يُنصح بتشجيع المصابين على البوح بمشاعرهم وتجنب الكتمان لتسهيل تنظيم أفكارهم وحل المشكلات.

كما يُعتبر دعم الثقة بالنفس عبر استبدال الأفكار السلبية بأخرى إيجابية، وملء أوقات الفراغ بأنشطة مفيدة كالرياضة والهوايات، استراتيجيات مهمة في العلاج. 

كما أن التدوين اليومي يُعد أيضاً أداة فعّالة للمساعدة في التحكم بالأفكار وتنظيمها، الشيء الذي يزيد من فرصة التداوي والخروج من هذه الحالة النفسية المضطربة.

متلازمة توريت 

متلازمة توريت عبارة عن اضطراب عصبي يظهر عادة خلال مرحلة الطفولة أو المراهقة، ويؤدي إلى تكرار لا إرادي لبعض الأصوات والحركات التشنجية.

 في بعض الأحيان، يمكن لهذه التكرارات أن تكون بسيطة، مثل رفرفة سريعة للعين، وفي أحيان أخرى، قد تكون معقدة وشديدة، مثل القفز أو تكرار الكلمات والجمل بصوت عالٍ.

الأسباب

على الرغم من التقدم الكبير في البحث العلمي، لا يزال السبب الدقيق لمتلازمة توريت غير معروف إلى الآن. 

لكن هناك مجموعة من النظريات العلمية، التي تشير إلى إمكانية ارتباط العوامل الوراثية والبيئية بهذه المتلازمة، والتي تزيد من احتمالية تطورها.

إذ إن الدراسات تظهر أن الأشخاص الذين لديهم أقارب من الدرجة الأولى مصابين بمتلازمة توريت هم أكثر عرضة للإصابة بها، مما يشير إلى وجود عنصر وراثي قوي.

أعراض متلازمة توريت 

أعراض متلازمة توريت تتنوع بشكل كبير بين المصابين، وقد تتغير في الشدة والنمط مع مرور الوقت. وتشكل الأعراض الأكثر شيوعاً التشنجات الحركية، مثل الغمز، والأصوات غير الإرادية، مثل التنحنح، وفي الحالات الأشد، قد يعاني المصابون من التشنجات الصوتية المعقدة التي تشمل تكرار الكلمات أو العبارات.

متلازمة توريت ـ مصدر: shutterstock
متلازمة توريت ـ مصدر: shutterstock

طرق العلاج

يركز علاج متلازمة توريت على تخفيف الأعراض وتحسين جودة حياة المصابين، من خلال القيام بمجموعة من العلاجات النفسية بالمقام الأول.

ومن بين هذه العلاجات نجد العلاج السلوكي، مثل العلاج بالتعرض ومنع الاستجابة، والعلاج بالأدوية، مثل مضادات الدوبامين، يمكن أن يكون فعالاً في السيطرة على الأعراض. 

بالإضافة إلى ذلك، يمكن أن يساعد الدعم النفسي والتعليمي المصابين وعائلاتهم على التعامل مع التحديات اليومية المرتبطة بالاضطراب.

متلازمة تكيس المبيض 

متلازمة تكيس المبيض (PCOS) هي اضطراب هرموني يؤثر على نسبة كبيرة من النساء في سن الإنجاب.

وتعرف هذه المتلازمة بوجود اختلالات هرمونية تؤدي إلى نمو عدد غير طبيعي من الأكياس الصغيرة على المبيضين، والتي تكون المليئة بالسائل، والذي بدوره يؤثر على الدورة الشهرية وتحول دون الإباضة الطبيعية.

الأسباب المحتملة

على الرغم من عملية البحث المستمرة التي تتم من أجل معرفة الأسباب التي تؤدي إلى الإصابة بمتلازمة تكيس المبيض، إلا أنها ما زالت غير مفهومة بشكل كامل.

وحسب النظريات التي تم التوصل إليها، تشير إلى دور محتمل للعوامل الجينية والبيئية، بالإضافة إلى مقاومة الأنسولين والالتهاب. 

كما أن الزيادة في إنتاج الأندروجين (الهرمونات الذكرية) تعد أيضاً عاملاً رئيسياً يسهم في تطور الحالة المرضية هذه.

أعراض المتلازمة

تختلف أعراض متلازمة تكيس المبيض بشكل كبير بين النساء، لكنها قد تشمل دورات شهرية غير منتظمة أو غائبة، ونمو الشعر الزائد في مناطق مختلفة من الجسم (فرط الشعر)، والصلع الذكوري، وحب الشباب، وزيادة الوزن أو السمنة. 

كما قد تعاني بعض النساء أيضاً من مشاكل في الخصوبة نتيجة لهذه الاضطرابات.

متلازمة تكيس المبيض ـ مصدر: shutterstock
متلازمة تكيس المبيض ـ مصدر: shutterstock

طرق علاج متلازمة تكيس المبيض

يمكن علاج متلازمة تكيس المبيض بطرق مختلفة، والتي تعتمد على حالة المرأة المصابة، لذلك فهي غير ثابتة دائمة، فيما المراحل تكون معروفة.

إذ يمكن أن تكون طريقة العلاج تعتمد على علاج زيادة الأندروجين، أو تحسين الخصوبة، أو إدارة الوزن. 

وتشمل الخيارات العلاجية تعديل نمط الحياة، وتناول بعض الأدوية الهرمونية، والعلاجات التناسلية المحفزة للإباضة.

متلازمة تململ الساقين

متلازمة تململ الساقين هي عبارة عن اضطراب حركي يتميز برغبة لا تقاوم في تحريك الساقين، غالباً ما يرافقها أحاسيس غير مريحة يتم وصفها على أنها خفقان، أو سحب، أو حتى حرقان. 

هذه الأعراض تصبح أكثر وضوحاً في حالة الراحة والاسترخاء، وتميل إلى التحسن بالحركة المستمرة للساقين، مما يخلق حلقة مفرغة من الراحة والاضطراب.

الأسباب المحتملة

الأسباب الحقيقية لمتلازمة تململ الساقين لا تزال غير معروفة، لكن البحث العلمي يشير إلى عدة عوامل يمكن أن تكون من بين المسببات من بينها نذكر الجينات، الاختلالات في توازن الدوبامين، ونقص في بعض المعادن مثل الحديد. 

كما تم الربط بين هذه المتلازمة الغريبة وحالات معينة مثل الحمل، والسمنة، ومرض السكري.

أعراض متلازمة تململ الساقين

الأعراض الرئيسية لهذه المتلازمة تشمل الرغبة الشديدة في تحريك الساقين مع أحاسيس غير مريحة تخف أو تختفي مع الحركة. 

وغالباً ما تظهر هذه الأعراض أو تزداد سوءاً خلال المساء أو ساعات الليل المتأخرة.

وغالباً ما تكون النتيجة وراء هذه المتلازمة اضطرابات النوم والشعور بالتعب والإرهاق خلال النهار.

متلازمة تململ الساقين ـ مصدر: shutterstock
متلازمة تململ الساقين ـ مصدر: shutterstock

طرق علاج المتلازمة

لا يوجد علاج نهائي لمتلازمة تململ الساقين، لكن هناك استراتيجيات مختلفة لإدارة الأعراض وتحسين جودة الحياة، من بينها نجد:

ممارسة الرياضة بانتظام، والحفاظ على نظام غذائي متوازن، وتجنب الكافيين والتبغ.

الأدوية التي تزيد من مستويات الدوبامين في الدماغ، من بينها مكملات الحديد (في حال وجود نقص)، وفي بعض الحالات، الأدوية المستخدمة لعلاج الصرع والاكتئاب.

كما يمكن الاتجاه للعلاجات البديلة من بينها تقنيات الاسترخاء، والتدليك، والعلاج بالحرارة أو البرودة.

متلازمة ستوكهولم 

يشار بمتلازمة ستوكهولم إلى الحالة النفسية التي تنشأ عندما يطور الرهائن مشاعر إيجابية تجاه خاطفيهم، وقد يصل الأمر إلى الدفاع عنهم وتبرير أفعالهم. 

يمكن أن تحدث هذه المتلازمة في مجموعة متنوعة من الحالات في الحياة الواقعية، بما في ذلك العلاقات الشخصية المسيئة، حيث يشعر الضحية بالولاء أو الحب تجاه الشخص المعتدي، ويصبح غير قادر على الابتعاد عنه، أو العيش دون حالة الإيذاء تلك.

الأسباب

تعتبر الأسباب الأساسية وراء متلازمة ستوكهولم معقدة وتتداخل فيها عوامل نفسية وبيئية مختلفة. 

إذ تشير النظريات إلى أن الرهائن أو الضحايا يطورون هذه المشاعر كاستراتيجية نجاة للتعامل مع الضغط الشديد والخوف من الأذى. 

كون هؤلاء الأشخاص ومن خلال التعاطف مع خاطفيهم، قد يحاولون استشعار بعض السيطرة أو الأمان في موقف يفتقرون فيه إلى كليهما.

أعراض المتلازمة

هناك مجموعة من الأعراض الرئيسية التي تصيب الشخص المصاب بمتلازمة ستوكهولم وتشمل:

– تطوير مشاعر الولاء، والثقة، أو حتى الحب تجاه الخاطف أو المعتدي.

– الدفاع عن أفعال الخاطفين وتبريرها، حتى في مواجهة الأدلة التي تدينهم.

– عدم الرغبة في التعاون مع السلطات القانونية أو الشرطة.

– صعوبة في التعرف على الأذى أو التهديد الذي يمثله الخاطف حتى وإن كان واضحاً للآخرين.

متلازمة ستوكهولم ـ مصدر: shutterstock
متلازمة ستوكهولم ـ مصدر: shutterstock

طرق العلاج النفسي

هناك مجموعة من الطرق التي يمكن نهجها عن محاولة علاج الشخص من متلازمة ستوكهولم، والتي تتطلب العلاج النفسي بالدرجة الأولى.

من بين طرق العلاج هذه هي الحوار والعلاج المعرفي السلوكي، اللذان يساعدان المريض في فهم مشاعره وسلوكه.

الدعم من المجتمع والأسرة أمر حيوي أيضاً في عملية التعافي، وفي بعض الحالات، قد يُنصح بالعلاج الجماعي لمشاركة التجارب والتعلم من تجارب الآخرين.

متلازمة النفق الرسغي

متلازمة النفق الرسغي هي اضطراب ناتج عن ضغط مفرط على العصب الوسطي، الذي يمر عبر النفق الرسغي في المعصم. 

هذا الضغط يمكن أن يسبب مجموعة من الأعراض الصحية المزعجة، من بينها الألم، والخدر، والتنميل في الأصابع، خصوصاً الإبهام والسبابة والوسطى.

أسباب متلازمة النفق الرسغي

تختلف أسباب التعرض لهذه المتلازمة، لكن العامل الرئيسي هو ضغط مستمر أو تكرار حركات اليد والمعصم التي تؤدي إلى التهاب في النفق الرسغي. 

ومن بين الأنشطة التي تتطلب حركات متكررة للمعصم، نجد استخدام الأجهزة الإلكترونية لفترات طويلة، أو حتى وضعيات اليد غير الطبيعية، التي يمكن أن تزيد من خطر الإصابة بالمتلازمة. 

كما يمكن لبعض الحالات الطبية مثل مرض السكري والتهاب المفاصل الروماتويدي أن تزيد من خطر الإصابة.

الأعراض

من بين أبرز الأعراض التي تدل على الإصابة بمتلازمة النفق الرسغي هي الألم، والخدر، والتنميل في الأصابع، بالإضافة إلى ضعف قبضة اليد. 

حيث يجد المصابون صعوبة في أداء مهام بسيطة في حياتهم اليومية مثل الكتابة، وربط الأزرار، أو حمل الأغراض، وفي الحالات المتقدمة، قد يستيقظ المصابون من النوم بسبب الألم والتنميل.

متلازمة النفق الرسغي ـ مصدر: shutterstock
متلازمة النفق الرسغي ـ مصدر: shutterstock

طرق العلاج

يجب أن يتم العلاج في مراحل المرض الاولى ليكون أكثر فاعلية، ومن بين هذه الطرق التي يمكن أن تقترح من طرف الطبيب المعالج، نجد:

تجنب الحركات التي تسبب الألم واستخدام دعامات المعصم لتقليل الضغط على العصب.

تمارين العلاج الطبيعي التي تعتمد على تمديد وتقوية لليد والمعصم وتخفيف الأعراض.

تناول بعض الأدوية مثل مضادات الالتهاب غير الستيروئيدية لتخفيف الألم والتورم.

في الحالات الشديدة، قد يوصي الطبيب بجراحة لتخفيف الضغط عن العصب الوسيط.

متلازمة القولون العصبي

متلازمة القولون العصبي عبارة عن اضطراب وظيفي يؤثر على الأمعاء الغليظة؛ مما يسبب مجموعة من الأعراض مثل الألم البطني، والانتفاخ، وتغيرات في عادات الإخراج، بما في ذلك الإسهال أو الإمساك، أو كليهما. 

وعلى الرغم من كونها حالة طويلة الأمد، فإن هذه المتلازمة لا تسبب تغييرات مزمنة في نسيج الأمعاء ولا تزيد من خطر الإصابة بأمراض القولون الخطيرة.

الأسباب

حسب ما توصل له الطب حول هذه المتلازمة، فإن الأسباب التي يحتمل أن تكون مؤدية لها تتمثل في بعض العوامل الجسدية وأخرى نفسية.

من بينها تشمل حساسية مفرطة للأمعاء، واضطرابات في الحركة الطبيعية للأمعاء، والتهابات معوية سابقة، وتغيرات في الميكروبيوم الهضمي، والإجهاد والقلق.

الأعراض

هناك مجموعة من الأعراض الشائعة التي تكشف عن الإصابة بهذه المتلازمة، من بينها نجد الألم أو التشنج البطني، والانتفاخ والغازات، والإسهال أو الإمساك، أو التناوب بينهما، ثم مخاطاً في البراز.

متلازمة القولون العصبي ـ مصدر: istock
متلازمة القولون العصبي ـ مصدر: istock

طرق العلاج

على الرغم من عدم وجود علاج نهائي لهذه المتلازمة، فإن هناك العديد من الاستراتيجيات التي يمكن أن تساعد في إدارة الأعراض من بينها نذكر:

-تعديلات النظام الغذائي من خلال تجنب الأطعمة التي تثير الأعراض، مثل الأطعمة الغنية بالدهون، والكافيين، والأطعمة الغازية.

اللجوء إلى العلاجات النفسية مثل العلاج المعرفي السلوكي، والتدريب على الاسترخاء، واليوغا التي يمكن أن تقلل من الأعراض المرتبطة بالإجهاد.

الأدوية التي تشمل مضادات التشنج لتخفيف الألم البطني، والملينات أو الأدوية المضادة للإسهال لتنظيم حركة الأمعاء، ومضادات الاكتئاب في حالات معينة لتخفيف الالم والاكتئاب المصاحب.

متلازمة اليد الغريبة

تُصنف متلازمة اليد الغريبة على أنها اضطراب عصبي نادر يفقد فيه المصاب السيطرة على حركات يده أو ذراعه، مما يجعلها تتحرك دون أي توجيه واعٍ منه. 

يمكن لهذه الحركات أن تكون بسيطة كالتقاط أشياء، أو معقدة مثل تنفيذ مهام متعددة، والمصابون قد يشعرون أيضاً أن يدهم تنتمي إلى شخص آخر، أي ليس لها علاقة ببقية جسدهم.

أسباب متلازمة اليد الغريبة

لم يتم بعد الكشف عن الأسباب الحقيقة التي تؤدي للإصابة بهذه المتلازمة، لكن البحث العلمي يشير إلى أنها تنجم عن تلف في مناطق معينة من الدماغ التي تسيطر على الحركات الطوعية، مثل الفص الجبهي، ومناطق الدماغ المسؤولة عن الإدراك الحسي. 

هذا التلف قد يكون ناتجاً عن السكتة الدماغية، أو الأورام، أو الإصابات في الرأس، أو أمراض مثل الزهايمر والتصلب المتعدد.

الأعراض

إلى جانب حركة اليد أو الذراع دون السيطرة الواعية عليهما، قد يشعر المصابون بأن طرفهم لا ينتمي إليهم، أو أنه “يتمرد” على إرادتهم. 

وفي بعض الحالات، قد تقوم اليد “الغريبة” بتنفيذ أفعال تتعارض مع تلك التي تقوم بها اليد الأخرى، مما يخلق مواقف محرجة أو حتى خطيرة للمصاب بالمتلازمة الغريبة.

متلازمة اليد الغريبة ـ مصدر: shutterstock
متلازمة اليد الغريبة ـ مصدر: shutterstock

طرق العلاج

لم يتم التوصل لعلاج نهائي لهذه المتلازمة، إلا أن هناك بعض الاستراتيجيات التي يمكن أن تساعد في إدارة الأعراض، من بينها التدخلات استخدام أدوية مثل مضادات الاكتئاب والأدوية المضادة للصرع للتحكم في الأعراض.

الخضوع للعلاج الفيزيائي الذي يساعد في تحسين السيطرة على الحركات والتكيف مع الحالة.

يمكن كذلك تعلم تقنيات للتعامل مع الحركات غير المقصودة، مثل إعطاء اليد المتمردة شيئاً لتحمله أو القيام به، من أجل التوقف عن القيام بحركات من الممكن أن تكون خطيرة.

متلازمة تيرنر

متلازمة تيرنر هي حالة جينية تؤثر فقط على الإناث، وذلك عندما يغيب كلياً أو جزئياً أحد الصبغين X. 

يمكن أن تتنوع الأعراض والعلامات بشكل كبير بين الأفراد المصابين، لكنها تشمل غالباً قصر القامة وفشل المبايض في النمو بشكل طبيعي.

الأسباب

تحدث متلازمة تيرنر نتيجة خلل في الصبغي X، هذا الخلل يمكن أن يحدث بشكل عشوائي في وقت مبكر من تطور الجنين، ولا يعتقد أن له علاقة بعوامل وراثية أو بيئية.

الأعراض

الأعراض والعلامات المرتبطة بمتلازمة تيرنر متنوعة وقد تشمل:

– قصر القامة، الذي يظهر عادة في مرحلة الطفولة المبكرة.

– فشل المبايض، مما يؤدي إلى تأخر أو عدم حدوث البلوغ.

– تشوهات في القلب والكلى.

– خلل في الغدة الدرقية.

– مشكلات سمعية ومشكلات في الرؤية.

متلازمة تيرنر ـ مصدر: ويكيبيديا
متلازمة تيرنر ـ مصدر: ويكيبيديا

طرق العلاج

بالرغم من عدم وجود علاج لمتلازمة تيرنر، فإن التدخلات الطبية يمكن أن تساعد في إدارة الأعراض وتحسين جودة الحياة. 

إذ يعتمد العلاج في هذه الحالة على طبيعة الأعراض الخاصة بكل فرد وقد يشمل:

– العلاج بالهرمونات، بما في ذلك هرمون النمو لتحسين الطول، والعلاج بالإستروجين والبروجسترون لتحفيز تطور الثانويات الجنسية.

– المراقبة والعلاج المستمر للمضاعفات المحتملة، مثل مشكلات القلب والكلى.

– الدعم النفسي والتعليمي لمساعدة المصابين وعائلاتهم على التعامل مع التحديات المرتبطة بالحالة.

متلازمة التحميل الغذائي 

متلازمة التحميل الغذائي، والتي قد تُعرف أيضاً بـ”الإفراط في التغذية”، هي حالة تنتج عن تناول كميات كبيرة من الطعام؛ مما يؤدي إلى تحميل الجسم بالمزيد من السعرات الحرارية والعناصر الغذائية التي تفوق الطاقة.

هذا الوضع يمكن أن يؤدي إلى مجموعة من المشكلات الصحية، بما في ذلك السمنة، وأمراض القلب، والسكري من النوع الثاني.

الأسباب

الأسباب الرئيسية التي تؤدي إلى الإصابة بمتلازمة التحميل الغذائي ترتبط ارتباطاً وثيقاً بنمط الحياة الحديث والعادات الغذائية من بينها:

– الإفراط في تناول الأغذية الغنية بالدهون والسكريات.

– نقص النشاط البدني.

– الاعتماد المتزايد على الوجبات السريعة والمعالجة.

– عدم الانتظام في توقيتات الوجبات وكمياتها.

الأعراض

هناك مجموعة من الأعراض الناتجة عن هذه المتلازمة يمكن أن تتراوح بين البسيطة والمعقدة، وتشمل:

– زيادة الوزن أو السمنة.

– الشعور بالتعب والخمول.

– ارتفاع ضغط الدم ومستويات الكوليسترول.

– مشكلات في الهضم والأيض.

– تقلبات المزاج والإحساس بعدم الراحة النفسية.

متلازمة التحميل الغذائي ـ مصدر: shutterstock
متلازمة التحميل الغذائي ـ مصدر: shutterstock

طرق العلاج

من أجل التغلب على متلازمة التحميل الغذائي يتطلب الأمر تغييرات جذرية ومستدامة في نمط الحياة والعادات الغذائية.

إذ يتوجب على المصاب اعتماد نظام غذائي متوازن يشمل جميع العناصر الغذائية الأساسية، والتقليل من استهلاك الأغذية الغنية بالدهون المشبعة والسكريات البسيطة.

كما يجب عليه زيادة النشاط البدني وممارسة التمارين الرياضية بانتظام، وتناول الطعام بكميات معتدلة وفي أوقات منتظمة، دون إهمال استشارة أخصائي التغذية للحصول على دعم مخصص وإرشادات.

شهد التطور التكنولوجي ولم يتخلّص من مشاعر الحنين للزمن الجميل.. ما هي...

كثُر الحديث مؤخراً في العديد من البرامج التلفزيونية ومنصّات التواصل الاجتماعي عن حنين مواليد جيل التسعينات إلى فترة الطفولة والمراهقة، حيث كانت حياتهم في تلك…

تم النشر: منذ سنة واحدة
لكل منها أعراضه وعلاجه الخاص.. ما الفرق بين المتلازمة والاضطراب والمرض؟ 

عالم الطب يعج بالمصطلحات التقنية والمعقدة، التي قد تكون مرهقة للأشخاص غير المتخصصين. يوجد التباس شائع بين مصطلح المتلازمة والاضطراب والمرض، ولكن من الضروري فهم…

تم النشر: منذ سنة واحدة
ظهرت لأول مرة في اليابان ثم انتشرت خلال جائحة كورونا.. متلازمة هيكيكوموري،...

متلازمة هيكيكوموري، هي عبارة عن حالة يكون فيها الشخص بعيداً عن جميع الأوساط الاجتماعية، والتي تصل إلى درجة البقاء منعزلاً في المنزل لمدة قد تصل…

تم النشر: منذ سنة واحدة
النساء الحوامل والأشخاص ما بعد 60 سنة هم الأكثر عُرضة للإصابة.. ما هي...

متلازمة الفم الحارق، والتي يُرمز لها طبياً بـ (BMS)، عبارة عن إحساس حارق يشعر به الشخص في اللسان، أو سقف الفم، أو الشفتين، أو الجزء…

تم النشر: منذ سنة واحدة
إقرأ المزيد
مقالات
"متلازمة ستوكهولم".. حين تتعاطف الضحية مع الجاني

في صباح يوم الـ23 من أغسطس لعام 1973م، وفي العاصمة السويدية ستوكهولم، استيقظ سكان المدينة على خبر محاولة سرقة بنك "كريديتبانكينن"، حيث قام شخص يدعى…

أحمد صبحي أخصائي نفسي ومعالج سلوكي
تم النشر: منذ سنتين